More articles about: Lab Report
Health Lab
Young African-Americans with Colon Cancer Fare Worse
African-Americans diagnosed with colorectal cancer at a young age had worse outcomes compared to other patients. Learn what could be causing the disparity.
Health Lab
Quality of Life Meets Cure for Prostate Cancer Treatment
Vessel-sparing radiation combined with a better understanding of prostate anatomy is helping doctors treat prostate cancer while minimizing side effects.
Health Lab
International Collaboration Leads to Clues About Rare Cancer
Researchers from across the globe, including University of Michigan, have identified genes that could assist in diagnosing and predicting adrenal cancer.
Health Lab
Pesticide Exposure May Be ALS Risk Factor
Research from the University of Michigan shows environmental pollutants could affect the chances a person will develop amyotrophic lateral sclerosis, or ALS.
Health Lab
A ‘Communication Breakdown’ During General Anesthesia
A University of Michigan study suggests that during general anesthesia adjacent parts of the brain simply stop talking to each other.
Health Lab
Can Nutritional Supplements Impact Genetic Hearing Loss in Children?
A University of Michigan study found that supplements helped reduce hearing loss in mice with the genetic mutation commonly responsible for childhood deafness.
Health Lab
Study Pinpoints Genetic Markers That Influence Addiction
Researchers at the University of Michigan found that rats with specific genetic markers were more likely to become addicted to cocaine than those without it.
Health Lab
Can Cancer Cause Blood Clots?
University of Michigan researchers have developed a new model to study cancer-associated thrombosis and are getting preliminary data for future research.
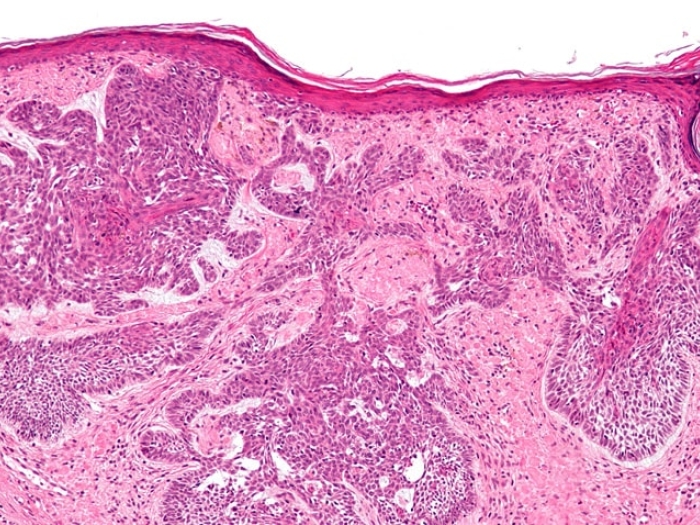
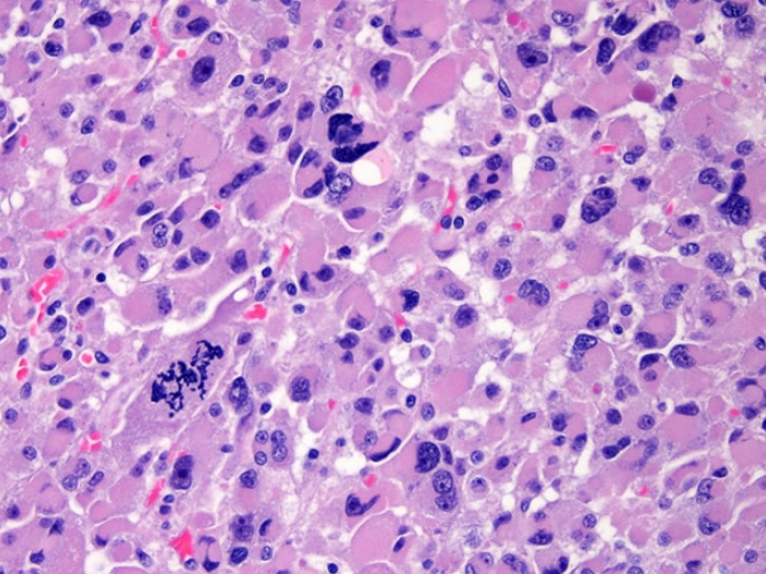
Health Lab
Detecting When the Most Common Skin Cancer Turns Dangerous
A University of Michigan study finds a biomarker associated with basal cell carcinoma may help signal which skin tumors will be more aggressive.
Health Lab
Stop the Growth: Study Takes Aim at Cancer Metastasis
Researchers at the University of Michigan report a new understanding of the enzyme P-Rex1 and how it binds to a signaling lipid called PIP3 in cancer metastasis.
Health Lab
When It’s Not Exactly Cancer: Renaming Early Stage Thyroid Tumors
Researchers at the University of Michigan suggest categorizing non-life-threatening thyroid tumors separately from more aggressive thyroid cancers.
Health Lab
Could a Brain ‘Growth Chart’ Spot Attention Problems Early On?
Medical Research at the University of Michigan suggests it might be possible to use growth charts for brain networks to identify signs of attention difficulties
Health Lab
TAVR Trumps Surgery in Trial for High-Risk Heart Patients
TAVR changed the landscape for high-risk patients in need of new aortic heart valves. Now, new data supports the viability of TAVR out to three years.
Health Lab
For Veterans With PTSD, Mindfulness Training Shows Promise
A University of Michigan Medical School study suggests that mind-body techniques are effective for managing PTSD in veterans in as little as four months.
Orange pancreas shown inside a blue body outline
Health Lab
Shining a Light on Pancreatic Insulin
A doctor from the University of Michigan Health System has developed a way to visualize stored insulin in the pancreas of a living creature.