More articles about: Lab Report
A woman worrying about breast cancer recurrence
Health Lab
Doctor Communication Key to Managing Breast Cancer Patient Risk Worries
Doctor patient communication is important in understanding breast cancer recurrence. See how breast cancer patients overestimate the risk of cancer recurrence.
Body Cooling vs Active Fever Prevention
Health Lab
Body Cooling vs. Active Fever Prevention: Similar Outcomes for Children After In-Hospital Cardiac Arrest
U-M study compares body cooling & active fever prevention for children after cardiac arrest. See if therapeutic hypothermia improves neurobehavioral function.
Graphic showing potential pancreatic cancer
Health Lab
Study Challenges Potential Pancreatic Cancer Target
Study shows inhibiting the PDX1 protein stops pancreatic cancer growth, but makes the cancer more aggressive. Learn more about this pancreatic cancer treatment.
Heart shaped blood bag for red blood cell transfusion
Health Lab
Model Helps Clinicians Predict Post-Cardiac Surgery Blood Transfusions
Model predicts the need for red blood cell transfusion after CABG surgery. See the preoperative variables associated with blood transfusion in CABG patients.
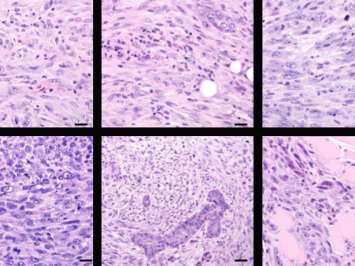
Microscopic images of metaplastic breast cancer cells
Health Lab
Researchers Find Key Genetic Driver for Rare Type of Triple-Negative Breast Cancer
U-M researchers discovered removing the protein CCN6 from mice caused metaplastic breast cancer. Find out what this means for future breast cancer research.
Graphic of a heart with atrial fibrillation
Health Lab
Medication Adherence a Problem in Atrial Fibrillation Patients
Study shows atrial fibrillation patients are struggling with anticoagulant medication adherence. Learn why Afib patients are not taking their blood thinners.
Microscopic image of glioblastoma multiforme
Health Lab
Immunotherapy, Gene Therapy Combination Shows Promise Against Glioblastoma
Study shows immune checkpoint blockade in addition to gene therapy could help treat gliomas tumors. Learn more about the study on a potential glioma treatment
A scale showing that women make up 8 out of 10 cases of autoimmune disease
Health Lab
‘Master Regulator’ in Genes May Make Women More Susceptible to Autoimmune Diseases
U-M researchers believe the VGLL3 gene is a master regulator tied to autoimmune disease. Learn how this inflammatory pathway promotes autoimmunity in women.
Image of amniotic sac tissue created from human stem cells
Health Lab
Using Stem Cells, Scientists Study the Amniotic Sac’s Earliest Stages
U-M scientists crated amniotic sac tissue from human stem cells. Learn how lab created amnion could assist with fertility medicine and large wound treatment.
Pink graphic for oropharyngeal cancer awareness
Health Lab
Predicting Throat Cancer Recurrence with a Blood Test
U-M study finds biomarkers that may signal throat cancer recurrence. Learn how the ratio of E7 antibodies may help predict oropharyngeal cancer recurrence.
Illustration of a a kidney with lupus nephritis
Health Lab
Investigating Kidney Biomarkers to Track Lupus
Researchers are using kidney biomarkers to identify lupus complications like kidney disease and vasculitis. Learn more about lupus risk factors and progression.
A breast cancer patient deciding whether to get implant reconstruction to autologous reconstruction
Health Lab
More Complications, Less Satisfaction in Breast Cancer Patients Who Have Radiation and Implants
A study on breast reconstruction after radiation therapy compares implant reconstruction to autologous reconstruction. Lean more about this breast cancer study.
Nef proteins stopping healthy proteins form alerting the immune system of HIV
Health Lab
The Quest for a True AIDS Cure — in a Coral Reef
Researchers identified a coral reef bacteria that targets the Nef protein made by HIV. Learn about potential AIDS & HIV treatments using marine actinomycetes.
Graphic of heart and lungs depicting sudden unexpected death in epilepsy
Health Lab
Fighting Sudden Death in Epilepsy Through Science
Researchers are studying the role SCN8A mutations & the sodium channel Nav1.6 play in sudden unexpected death in epilepsy. Learn more about SUDEP risk factors
Silhouette of a child's head and brain
Health Lab
Going Beyond Genetics Yields Clues to Challenging Childhood Brain Cancer
New research finds 80 percent of pediatric hindbrain ependymomas had reduced levels of H3K27me3. See how this discovery could help treat childhood brain tumors.