More articles about: Cancer Care
Health Lab
Patient Navigators: a Personal Guide to Cancer Treatment’s Complexity
Hospitals and health systems nationwide, including Michigan Medicine, now tap advocates who bring compassionate and customized help to cancer patients.
Health Lab
Cancer Survivor Climbs Mount Kilimanjaro, One Step at a Time
Read about how setting a big goal — climbing Africa’s tallest mountain — helped Kelly Luck, who was diagnosed with stage 4 breast cancer, get through day-to-day treatment.
Health Lab
Survivor in Action: A Cancer Patient Lends Her Mind, Body and Voice to Help Others
Participation in clinical trials is one way a mother fights back against cancer. She also volunteers with cancer patients and is working to boost research funds to study her own disease.
Health Lab
'Living Proof' that Federal Cancer Research, Funding Matter
A breakthrough treatment supported by a multitude of federal agencies helped one woman beat cancer, leading her to speak out about the importance of continuing such work.
Health Lab
How Cancer Research Gave Hope to a Patient Previously Out of Options
The story of one man with stomach cancer — and thousands more patients like him — demonstrates the lifesaving power of research and discovery.
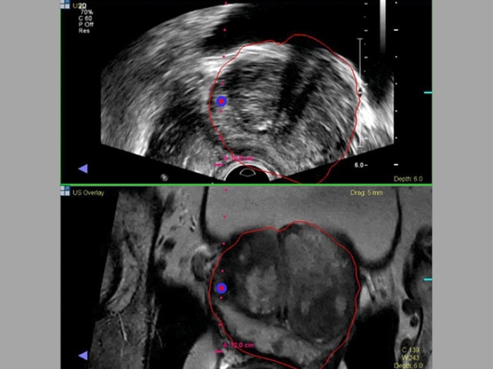
Prostate Cancer Biopsy
Health Lab
How Technology Is Making Prostate Cancer Biopsies More Precise
Learn more about how Michigan Medicine specialists are combining new techniques to improve prostate cancer diagnosis.
Health Lab
Beating Stage 4 Colon Cancer with Trust, Treatment and Community
Stage 4 colon cancer survivor Phil Scamihorn shares his inspiring journey to becoming cancer-free after a colon cancer diagnosis in 2012.
Large Intestine
Health Lab
Two Ways to Have a More Comfortable Colonoscopy
Learn how Michigan Medicine doctors are taking steps to make crucial colonoscopy screening a little easier.
Health Lab
Lynch Syndrome and Colon Cancer Risk: One Family’s Story
A family history of cancer had been a longtime fact of life for one Michigan Medicine nurse. After digging deeper — and being diagnosed herself — she learned why.
pink intestine with polyps growing graphic illustration
Health Lab
5 Warning Signs of Colorectal Cancer
Learn five symptoms that are early warning signs of colorectal cancer and find out how your family history impacts your colon cancer risk.
image of guy with female doctor in doctor's office
Health Lab
Should Young People Get a Colon Cancer Screening? It Depends on Their Risk
A Michigan Medicine expert explains implications of increasing colon cancer diagnosis among young people and how this impacts the age at which you should begin getting screened for colon cancer.
Health Lab
Support Without a Cancer Diagnosis: Helping People at Risk Find Comfort
Learn more about how people with a genetic predisposition to cancer can benefit from support groups as much as cancer patients, but options for the former group are limited.
Health Lab
Prostate Cancer and Hereditary Risk: A Doctor Explains the Connection
Some genetic mutations linked to breast cancer also can affect men, but in a different way. A Michigan Medicine urologist explains the connection.
Health Lab
‘Everything Pointed to Michigan’: Treating a Rare Cancer from a Distance
What do you do when you’re diagnosed with an ultra-rare disease? For one patient, the answer was simple: Find the experts and never give up.
Tori and her three children walking to school
Health Lab
5 Things I Wish I Knew at the Time of My Stage 4 Cancer Diagnosis
Tori has been living with a stage 4 lung cancer diagnosis for three years. See her advice for coping with a cancer diagnosis and tips for navigating cancer care.