More articles about: Basic Science and Laboratory Research
microscope drawn in blue ink on notepad paper
Health Lab
Scientists Develop First Drug-Like Compounds to Inhibit Elusive Cancer-Linked Enzymes
Structural biology techniques helped researchers target the nuclear receptor-binding SET domain family, whose malfunction is associated with several types of cancer.
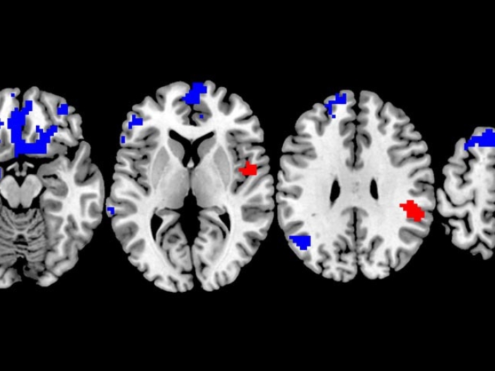
Brain scans of OCD.
Health Lab
Which OCD Treatment Works Best? New Brain Study Could Lead to More Personalized Choices
For people with OCD, or obsessive compulsive disorder, a new brain imaging study may help personalize treatment including exposure therapy.
drawing of a pink brain on a dark pink background
Health Lab
Investigational New Therapy Prevents Onset of Dravet Syndrome Symptoms in Mice
Development is first step to helping children with the rare epilepsy syndrome.
image of x-ray of lungs, two hands holding it
Health Lab
Oxygen Therapy Harms Lung Microbiome in Mice
New research in mice suggests that understanding the role of the lung microbiome may be pivotal to reducing infection brought on by oxygen treatment for hypoxemia.
drawing of a liver
Health Lab
Study Reveals Transcription Factor’s Role Linking Diet and Non-Alcoholic Fatty Liver Disease
Mice lacking E4BP4 were protected against diet’s damaging effects.
Drawing of a gene
Health Lab
Brain’s Ability to Rewire Itself is Connected to Gene Expression
New technique provides insight into the role of genes in brain’s plasticity and cognitive disorders.
drawing of microscope on lined paper
Health Lab
Researchers Optimistic After Dose-Determining Trial of Compound Against Metastatic Castration-Resistant Prostate Cancer
The multi-institution phase 1b/2a clinical trial found good tolerability and encouraging efficacy data for the pan-BET bromodomain inhibitor in combination with enzalutamide.
drawing of microscope on paper
Health Lab
Inhibiting Key Molecular Chaperone Sensitizes Tumors to Radiation Therapy in Animal Models
While heat shock protein 90 inhibitors have shown limited benefit in directly treating cancer, low doses may improve the efficacy of radiotherapy, a new study finds.
cell of COVID-19
Health Lab
Coronavirus: Decoding the Spiky Fuzz-Ball
Seen as the visual representation of the pandemic, one expert says the image should also be used as an educational tool.
drawing of gene on notebook paper
Health Lab
Modifying Writer and Eraser Enzymes Reverses Neurodevelopmental Disorders in Mice
Mouse models of two rare brain development disorders see their conditions corrected through manipulation of histone H3K4me.
microscope in lab
Health Lab
Study of Gene’s Hormone Effects Leads to Surprise Insight into Pituitary Tumors
A study of the role of the Islet 1 gene in hormone production leads to accidental model of tumor formation.
Bacteriaphage vs bacterium
Health Lab
How Viruses and Bacteria Balance Each Other in the Gut Microbiome
New research shows bacterial viruses could offer a way of beneficially altering the gut microbiome for the treatment of disease.
Health Lab
A Wife and Mother Turned Diabetes Research Crusader
When Elizabeth Weiser Caswell had two of three sons diagnosed with type 1 diabetes, she became relentless in her pursuit of more diabetes research, education and a cure. Now, her family is giving a $30 million gift to U-M in her honor.
white teeth floating in background of red GI tract on teal blue background
Health Lab
Could the Cure for IBD Be Inside Your Mouth?
Can poor oral health cause IBD? New research shows oral hygiene may be directly linked not only to the worsening of the inflammatory illness, but may even be the cause of systemic disease.
microscope in lab
Health Lab
Looking to Mouse, Macaque and Human Germ Cells for New Insight into Infertility
Researchers are comparing the way genes are expressed in thousands of these sperm-forming cells in mice, macaques and humans to look for similarities and differences. This comparison provides clues about how sperm has evolved in mammals.