Know the Symptoms and Risk Factors of Brain Aneurysm, Survivor Urges

Donna Poole considers herself fortunate after surviving a brain aneurysm. To mark Brain Aneurysm Awareness Month, she’s working to spread knowledge.

7:00 AM

Author | Jane Racey Gleeson

Six years ago, Donna Poole was diagnosed with a brain aneurysm during a follow-up exam for a stroke she had suffered three years earlier.

Due to unusual symptoms — including pain behind her right eye and ocular migraines — Poole was referred by her family doctor to a specialist who discovered the aneurysm.

LISTEN UP: Add the new Michigan Medicine News Break to your Alexa-enabled device, or subscribe to our daily audio updates on iTunes, Google Play and Stitcher.

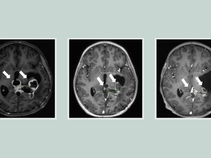
Michigan Medicine neurosurgeon B. Gregory Thompson, M.D., performed surgery to "clip" the aneurysm. During surgical clipping, small metal clips are placed around the base of the aneurysm, essentially depriving an aneurysm of its blood supply and preventing rupture.

Poole was cleared to go home two days later.

Since then, the 70-year-old has remained a diligent promoter of brain aneurysm awareness — not only during Brain Aneurysm Awareness Month each September, but every chance she gets.

She feels a responsibility to represent other brain aneurysm patients, especially those whose outcomes weren't as fortunate.

"I speak for those whose lives ended with a ruptured aneurysm," Poole says. "I speak for those who lived but can no longer talk, read, write, walk or see. I speak for caregivers too weary to talk in any language but tears. I speak for you, because yours may be the next voice silenced."

Her message: Know the risk factors and warning signs of a brain aneurysm.

Signs of a brain aneurysm

A brain, or cerebral, aneurysm is a bulging, weak area in the wall of an artery that supplies blood to the brain. In many cases, a brain aneurysm causes no symptoms and goes undetected until it ruptures.

MORE FROM MICHIGAN: Subscribe to our weekly newsletter

Some patients who have experienced a ruptured brain aneurysm report one or more of the following symptoms:   

  • Sudden, severe headache that differs from past headaches

  • Neck pain

  • Nausea and vomiting

  • Sensitivity to light

  • Fainting or loss of consciousness

  • Seizures

  • Sudden pain above and behind the eye

  • Individuals experiencing some or all of these symptoms should seek immediate medical attention.

Brain aneurysm risk factors

Several factors are known to contribute to a brain aneurysm:

  • Family history: People with a family history of brain aneurysms are more likely to have an aneurysm than those who don't. 

  • Previous aneurysm: Having a brain aneurysm is more likely to trigger another. 

  • Gender: Women are more likely to develop a brain aneurysm.

  • Race: Blacks and Hispanics have nearly twice the rate of rupture as whites.

  • Smoking: In addition to being a cause of high blood pressure, smoking cigarettes may greatly increase the chances of a brain aneurysm rupturing.

Knowing those risk factors can be key.

About 30,000 brain aneurysm ruptures occur each year in the United States, according to the Brain Aneurysm Foundation. Roughly 40 percent of these cases are fatal, and 4 out of 7 patients who recover will have disabilities.

Life after brain aneurysm

Poole feels she was one of the lucky ones. The Hillsdale, Michigan, resident is happy to talk — even joke — about her experience.

SEE ALSO: For Cardiac Success Story, Survival Starts with Self-Awareness

"Dr. Thompson left 13 pieces of hardware in my head, including three clips," Poole says.

Still, she remains grateful.

"It's Brain Aneurysm Awareness Month," she says, "so as I diligently put the facts on my Facebook profile — one in 50 will have a brain aneurysm — I thank God for Dr. Thompson, the big surgeon with a big heart."


More Articles About: Brain Health Brain Aneurysm Neurological (Brain) Conditions
Health Lab word mark overlaying blue cells
Health Lab

Explore a variety of healthcare news & stories by visiting the Health Lab home page for more articles.

Media Contact Public Relations

Department of Communication at Michigan Medicine

[email protected]

734-764-2220

Stay Informed

Want top health & research news weekly? Sign up for Health Lab’s newsletters today!

Subscribe
Featured News & Stories Mother and toddler
Health Lab
Young Woman’s Brain Aneurysm Leads to Remarkable Outcomes
After experiencing a life threatening brain hemhorrage, emergency aneurysm surgery at Michigan Medicine saved this one woman’s life.
Health Lab
Cross-Hospital Collaboration Proves Lifesaving for Brain Aneurysm Patient
Merrill Harvitt suffered an extensive neurovascular bleed that in most cases would be deadly. But teamwork led to a remarkable recovery — and more time with his beloved family.
vial of blood in container lab blue yellow grainy graphic
Health Lab
Drawing a tube of blood could assess ALS risk from environmental toxin exposure
Investigators have developed an environmental risk score that assesses a person’s risk for developing ALS, as well as for survival after diagnosis, using a blood sample.
cells floating pink purple green
Health Lab
Scientists develop new model for understanding sudden death in epilepsy
Researchers at the University of Michigan have developed a model for studying one type of familial epilepsy, opening the door to understanding—and eventually targeting—the mechanisms that lead to the disorder and its associated fatalities.
cars jammed on highway
Health Lab
Nearly one-fifth of older adults travel 50-plus miles to see a neurologist
A Michigan Medicine study finds older Americans with complex neurologic conditions travel may travel great distances for care, many of whom live in rural areas or regions with a limited number of specialists.
glioma brain scan
Health Lab
Study finds improved survival for incurable brain tumor, providing ‘a crack in the armor’
A potential drug candidate called ONC201 nearly doubled survival for patients with diffuse midline glioma and DIPG.