High fat diet, unregulated athletic exercise endurance enhancers linked to risk of pancreatic cancer

A study suggests substances touted to improve athletic performance can activate a receptor that accelerates the progression of pre-cancerous lesions to pancreatic cancer in mice.

10:00 AM

Author | Anna Megdell

Microscopic slide of purple cancer cells
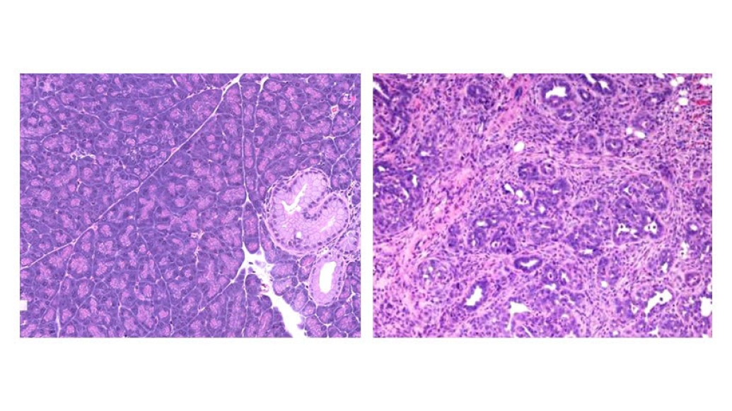
Microscopic pictures of pancreatic tissue in mice. The image on left shows tissue with precancerous lesions fed on a standard diet; the right shows the same tissue fed with a standard diet plus synthetic PPARδ added. Credit: Imad Shureiqi

Researchers at the University of Michigan Rogel Cancer Center have found a cell nuclear receptor activated by high fat diets and synthetic substances in unregulated athletic performance enhancers fuels the progression of precancerous pancreas lesions into pancreatic cancer.

Pancreatic ductal adenocarcinoma is a highly lethal form of cancer with rising occurrence, and strategies to prevent and treat the disease are urgently needed. Most cases of pancreatic cancer arise from pre-cancerous lesions called pancreatic intraepithelial neoplasia; about 55-80% of adults over 40 are estimated to have these low grade pre-cancerous silent pancreatic lesions. A study published in Nature Communications, led by Imad Shureiqi, M.D., shows that, pre-cancerous pancreatic lesions in mice, similar to those found in humans, contain higher levels of the transcriptional receptor peroxisome proliferator activated receptor-delta (PPARδ).

MORE FROM THE LAB: Subscribe to our weekly newsletter

PPARδ regulates the expression of a wide spectrum of key genes that influences biological processes like lipid metabolism and cancer formation. Activation of PPARδ dramatically accelerates the progression of pre-cancerous lesions into pancreatic cancer. Shureiqi previously worked at MD Anderson Cancer Center at the University of Texas where he conducted much of this study, specifically in partnership with Xiangsheng Zuo, M.D., Ph.D., before moving his research to the cancer center in 2020.

"We became interested in studying the effects of PPARδ on pancreatic carcinogenesis because our prior observations showed that PPARδ strongly promoted other gastrointestinal cancers. But there's very limited information about PPARδ's role in pancreatic cancer's development," said Shureiqi. 

Activation of PPARδ correlates with excessive exposure to certain ligands, both natural and synthetic. Some ligands naturally occur in high fat diets, which have been associated with increased risk for pancreatic cancer in humans and animal models. High fat diets are enriched with fatty acids that are natural ligands of PPARδ.

Other synthetic forms of PPARδ ligands, like Cardarine (GW501516), are found in exercise supplements, aimed to boost physical performance and endurance. GW501516 was originally designed by pharmaceutical companies to encourage the body to use more fat and treat noncancerous conditions like obesity and hyperlipemia. Pharmaceutical development of GW501516 and other similar potent PPARδ agonists for medical use has long been discontinued given their potential procancerous side effects. Though studies on how PPARδ affects colorectal cancer date back to 1999, and pharmaceutical companies have halted synthetic PPARδ ligand development, unregulated internet outlets still sell substances like Cardarine. Ads are largely marketed to young people, claiming it will help them build muscle endurance and burn fat.

Shureiqi explains that, initially, researchers found that these synthetic ligands reduced fatigue in mice. This news made its way to major media outlets, who nicknamed it "exercise in a pill." "Unfortunately, what the media didn't address was the dark side of PPARδ. Like muscle cells, synthetic PPARδ ligands also help cancer cells get more energy from fats as a fuel source," he said.

"It's shocking to me," Shureiqi continued. "Animal models repeatedly show the strong relationship between PPARδ and cancer promotion in the case of colorectal cancer and stomach cancer. Now we're gaining more information about how it affects pancreatic cancer."

Critical factors that promote the progression of silent pancreatic precancerous lesions to pancreatic cancer remain poorly defined, especially those that are easy to target. While most of these pre-cancerous lesions don't develop into cancer, understanding how they progress is still crucial to finding interventions to address the rising rate of pancreatic cancer. Findings from this study indicate that people who have silent precancerous lesions, even those that are low grade, could increase their risk of developing pancreatic cancer by consuming PPARδ natural activators, like in high fat diets, or synthetic ones, like Cardarine. Future development of effective agents to block PPARδ activation could be a new approach to prevent the progression of precancerous lesions into pancreatic cancer. Limiting exposure to high fat diets could also be considered for those with a high prevalence of pre-cancerous pancreatic lesions. But for now, the prevalent sales and use of those athletic boosting synthetic PPARδ activating substances causes the most pressing concern.

"This new information should alert individuals to the potential serious health risks from using synthetic PPARδ agonists," Shureiqi said. "We're trying to spread the message that's using those substances is not a good idea. It might enhance muscle endurance, but it also enhances cancer's ability to use energy and grow."

Funding: National Cancer Institute grants R01CA266223, R01CA142969, R01CA195686, R01-CA206539, R01CA236905 R03CA235106, K08CA234222; the Cancer Prevention and Research Institute of Texas grants RP150195 RP140224;, DDC seed fund. This study made use of the MD Anderson Cancer Center Genetically Engineered Mouse Facility, Functional Genomics Core, Flow Cytometry and Cellular Imaging Facility, the Next Generation Sequencing Core and Research Animal Support Facility—Smithville Laboratory Animal Genetic Services, supported by Cancer Center Support Grant P30CA016672. The Next Generation Sequencing Core was also supported by CPRIT Core Facility Support Grant RP120348.

Paper cited: "Rapid acceleration of KRAS-mutant pancreatic carcinogenesis via remodeling of tumor immune microenvironment by PPARδ," Nature Communications. DOI: 10.1038/s41467-022-30392-7

Like Podcasts? Add the Michigan Medicine News Break on iTunes or anywhere you listen to podcasts.


More Articles About: Lab Report Pancreatic cancer Cancer Research Cancer Risk Factors Cancer: Cancer Types
Health Lab word mark overlaying blue cells
Health Lab

Explore a variety of healthcare news & stories by visiting the Health Lab home page for more articles.

Media Contact Public Relations

Department of Communication at Michigan Medicine

[email protected]

734-764-2220

Stay Informed

Want top health & research news weekly? Sign up for Health Lab’s newsletters today!

Subscribe
Featured News & Stories DNA helix technology robotic cybernetic image
Health Lab
Metabolite tells cells whether to repair DNA
Findings from researchers at the University of Michigan Health Rogel Cancer Center, published in Cancer Discovery, show how a specific nucleotide metabolite called GTP controls responses to radiation and chemotherapy in an unexpected way.
Doctors with patient while on exam table
Health Lab
Can personalized care prevent overscreening for colorectal cancer in older adults?
Study reveals presenting adults between 76 and 85 with personalized information about the benefits and harms of colon cancer screening decreases excess screening
cancer cell yellow blue
Health Lab
Potato starch supplements could be solution to bone marrow transplant complications
University of Michigan Health Rogel Cancer Center scientists have found a potential solution for preventing a common and dangerous complication in patients that receive stem cell transplants from a donor’s blood or bone marrow.  
older person pouring pills into hand close up
Health Lab
Early findings suggest this cancer drug may be effective against advanced tumors caused by genetic mutations
Sparrow Health System, part of University of Michigan Health, experts release findings in a study of a cancer drug for patients with genetic mutations.
Health Lab
Tumor-destroying soundwaves receive FDA approval for liver treatment in humans
Michigan Medicine has developed a new technique that provides a non-invasive alternative to surgery, chemotherapy and radiation treatments for cancer.
Health Lab
Hungry for more
Metabolism pathways make tumors sensitive or resistant to treatments. A collaborative group leverages these avenues to explore the growing foundation of new potential therapies